恶性胸膜间皮瘤有哪些分期?恶性胸膜间皮瘤有哪些诊断方法?
2020-03-23来源:厚朴方舟
恶性胸膜间皮瘤是一种比较少见的癌症。通常胸痛、咳嗽和气短是常见症状,随着疾病进展症状会加重。恶性胸膜间皮瘤是如何分期的?这种癌症又是通过哪些方法检查出来的呢?接下来,小编就来为大家介绍一下有关恶性胸膜间皮瘤的临床分期和诊断方法。

图源:日本呼吸学会
一、恶性胸膜间皮瘤的分期
恶性胸膜间皮瘤遵循美国癌症联合委员会 (AJCC)与国际抗癌联盟 (UICC)共同制定的TNM分期系统。临床上根据TNM进展情况,将恶性胸膜间皮瘤分为I—IV期。
T----原发肿瘤
Tx 原发肿瘤无法评估;
T0 无原发肿瘤证据;
T1 局限于同侧的壁层胸膜,有/没有脏层胸膜、纵膈胸膜或横膈胸膜的侵犯;
T2 侵及同侧胸膜表面一个部位(胸膜顶,纵膈胸膜,膈胸膜,脏层胸膜),并具备至少一种以下特征:侵及膈肌;侵 及脏层胸膜下的肺实质;
T3 局部晚期但有潜在切除可能的肿瘤。侵及同侧胸膜表面的所有部位(胸膜顶,纵膈胸膜,膈胸膜,脏层胸膜),并 具备至少一种以下特征: ①侵及胸内筋膜; ②侵及纵膈脂肪; ③侵及胸壁软组织的单个、可完整切除的病灶; ④非透壁性心包浸润;
T4 不可切除的局部晚期肿瘤。侵及同侧胸膜表面的所有部位(胸膜顶,纵膈胸膜,膈胸膜,脏层胸膜),并具备 至少一种以下特征: ①胸壁的弥漫性浸润或多个病灶,有或没有肋骨破坏; ②直接经膈肌侵入腹腔; ③直接侵及对侧胸膜; ④直接侵及纵膈器官; ⑤直接侵及脊柱; ⑥穿透心包的内表面,有或没有心包积液,或侵犯心肌;
N----区域淋巴结
Nx 淋巴结转移情况无法评估;
N0 无区域淋巴结转移;
N1 转移至同侧支气管、纵膈、肺或肺门淋巴结;
N2 转移至对侧纵膈、同侧或对侧锁骨上淋巴结;
M----远处转移
M0 无远处转移;
M1 有远处转移;

二、胸膜间皮瘤的诊断方法
▪ 胸部X光
▪ 胸腔积液细胞学和胸膜活检
▪ 有时进行胸腔镜手术(VATS)或开胸手术
▪ 分期通过胸部CT,纵隔镜和MRI进行,有时通过PET和支气管镜进行
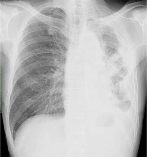
90%以上的间皮瘤病人都有胸膜病变(其他10%病人表现为心包间皮瘤和腹膜间皮瘤),X线胸片表现为单侧或双侧弥散性胸膜增厚,常致肋膈角变钝。胸腔积液存在于95%的病例,并且通常为单侧性,量多,为血性。诊断依据胸水细胞学或胸膜活检。胸水透明质酸酶水平升高提示有但不能诊断间皮▪瘤。如果以上无法确诊,则通过胸腔镜或开胸活检完成。研究发现由间皮细胞产生释放入血的可溶性间皮素相关蛋白可能作为肿瘤标志物用于疾病的诊断和监测,但假阳性率可能会限制其价值。

胸膜间皮瘤影像,图源:日本呼吸学会
以上就是有关“恶性胸膜间皮瘤的分期和诊断方法”的全部内容了。胸膜间皮瘤目前尚没有可以有效清除的方法,但是通过积极适当的治疗,部分患者预后较好,也可以获得较长的生存期。对于胸膜间皮瘤风险较高的人群,需要定期进行体检,尤其是相应的癌症筛查更是必不可少,尽量做到早发现早治疗。
厚朴方舟2012年进入海外医疗领域,总部位于北京,建立了由全球权威医学专家组成的美日名医集团,初个拥有日本政府官方颁发的海外医疗资格的企业。如果您有海外就医的需要,请拨打免费热线400-086-8008进行咨询!
本文由厚朴方舟编译,版权归厚朴方舟所有,转载或引用本网版权所有之内容须注明"转自厚朴方舟官网(www.hopenoah.com)"字样,对不遵守本声明或其他违法、恶意使用本网内容者,本网保留追究其法律责任的权利。
上一篇:胸膜间皮瘤是恶性肿瘤吗?胸膜间皮瘤能病愈吗? 下一篇:恶性胸膜间皮瘤手术效果好吗?日本胸膜间皮瘤手术方法
厚朴方舟
厚朴方舟出国看病机构是中国企业初个拥有日本政府颁发的国际医疗从业资格证的公司,多年来整合了全球权威医疗资源,一直致力于打造“以患者为中心”的专业就医服务平台。公司在北京,上海,日本,美国均有分公司,为客户提供一站式海外就医服务。
相关服务介绍

精密体检
日本医疗体检综合服务平台高性价比的专业体检套餐


远程会诊
足不出户与国际医学专家沟通新型用药方案和治疗方案


海外就医
专业的一站式海外就医服务国外专家预约、落地安排

咨询热线:400-086-8008
互联网药品信息服务资格证书编号:
(京)·非经营性·2015·0179
厚朴方舟健康管理(北京)有限公司 版权所有 www.hopenoah.com
京ICP备15061794号 京公网安备 11010502027115号