骨肉瘤早期有哪些症状?如何诊断与治疗?
2021-06-22来源:厚朴方舟
骨肉瘤是骨骼常见的原发性恶性肿瘤,儿童和青少年是高发群体。虽然骨肉瘤发病率低,但一旦发生,由于预后差、复发率高等特点,不但威胁患者的健康,也会带来巨大的经济负担。因此,了解骨肉瘤早期的症状,及时诊断与治疗是非常有必要的。
一、骨肉瘤早期有哪些症状?
(一)疼痛为骨肉瘤早期症状,可发生在骨肉瘤肿瘤出现以前,起初为间断性疼痛,渐转为持续性剧烈疼痛,尤以夜间为甚。
(二)恶性程度较大的骨肉瘤肿瘤,其疼痛发生较早且较剧烈。
(三)全身健康状况逐渐下降至衰竭,多数骨肉瘤患者在一年内有肺部转移。
(四)骨肉瘤患者常有局部创伤史,前期可能出现骨端近关节处肿瘤大,硬度不一,有压痛。
(五)骨肉瘤患者可能出现患处局部温度高,皮肤发亮,静脉扩张,有时可摸出搏动。
(六)临床上骨肉瘤症状常发生于青少年,下颌骨较少见,上颌骨较多见,并有损伤史。
(七)可能会发生间歇性麻木和疼痛,进而转变为持续性剧烈疼痛伴有反射性疼痛。患者早期
可因患肢疼痛而出现跛行。
(八)骨肉瘤迅速生长,破坏牙槽突及颌骨可能会发生牙松动、移位、面部畸形。
(九)可能发生病理性骨折,在X线片上显示为不规则破坏,由内向外扩展者为溶骨型。
(十)可能会发生骨皮质破坏。患者早期可因患肢疼痛而出现跛行。
二、骨肉瘤如何诊断?

图源:参考文献[2]
为了帮助诊断骨癌,医生会询问患者的个人和家族病史,还会进行身体检查。此外,还通过以下实验室和其他诊断测试帮助诊断:
X 射线:可以显示骨肿瘤的位置、大小和形状。如果 X 射线表明异常区域可能是癌症,医生可能会建议进行特殊的影像学检查。即使 X 射线表明异常区域是良性的,医生也可能想要做进一步的检查,特别是如果患者正在经历异常或持续的疼痛。
骨扫描:检测原理是将少量放射性物质注入血管并通过血流,它会聚集在骨骼中并被扫描仪检测到。
计算机断层扫描(CT 或 CAT):由连接到 X 光机的计算机从不同角度拍摄并展示的一系列身体内部区域的详细图片。

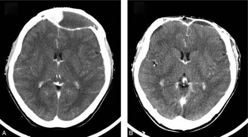
图示头颅增强CT示钛网下肿瘤复发(A);术后增强CT扫描显示肿瘤全切除,但也显示手术硬脑膜和头皮增强,提示残留肿瘤(B)
图源:参考文献[1]
磁共振成像 (MRI) :使用与计算机相连的强大磁铁,在不使用 X 射线的情况下创建身体内部区域的详细图片。
正电子发射断层扫描 (PET) 扫描:将少量放射性葡萄糖(糖)注入静脉,然后使用扫描仪对使用葡萄糖的身体内部区域制作详细的计算机图像。因为癌细胞通常比正常细胞使用更多的葡萄糖,所以这些图片可以用来寻找体内的癌细胞。
血管造影:也就是血管的 X 射线。
活检:从骨肿瘤中取出组织样本以确定是否存在癌症。活检需由骨科肿瘤专家进行,因为活检切口的位置会影响后续的手术选择。病理学家检查组织以确定它是否癌变。
三、骨肉瘤如何治疗?
骨肉瘤的具体治疗方案取决于癌症的类型、大小、位置和阶段,以及患者的年龄和总体健康状况。目前骨肉瘤的治疗方法包括手术、化学治疗方法、放射治疗方法、冷冻手术和靶向治疗方法。具体治疗方法可点击 骨肉瘤如何治疗,盘点骨肉瘤治疗的几种方法了解
出现以上疑似骨肉瘤的早期症状也无需担心,只要尽早诊断,选择合适的治疗方法,治愈的可能性很大,转移和复发的可能性也更小。厚朴方舟建立了由全球权威医学专家组成的美日名医集团,可根据患者的病情搜寻合适的权威医院和医生,寻找技术水平高超、以患者为中心的诊治专家,为患者制定个性化诊疗方案,提高患者的预后。如果您有海外就医的需要,请拨打免费热线400-086-8008进行咨询!
参考文献:
[1] Wu G, Liang Q, Liu Y. Primary osteosarcoma of frontal bone: A case report and review of literature. Medicine (Baltimore). 2017 Dec;96(51):e9392. doi: 10.1097/MD.0000000000009392. PMID: 29390546; PMCID: PMC5758248.
[2] https://www.cancer.gov/types/bone/bone-fact-sheet#what-are-the-symptoms-of-bone-cancer
厚朴方舟2012年进入海外医疗领域,总部位于北京,建立了由全球权威医学专家组成的美日名医集团,初个拥有日本政府官方颁发的海外医疗资格的企业。如果您有海外就医的需要,请拨打免费热线400-086-8008进行咨询!
本文由厚朴方舟编译,版权归厚朴方舟所有,转载或引用本网版权所有之内容须注明"转自厚朴方舟官网(www.hopenoah.com)"字样,对不遵守本声明或其他违法、恶意使用本网内容者,本网保留追究其法律责任的权利。
上一篇:出国看病:侵袭性导管癌的诊断与治疗简介 下一篇:美国治疗结肠直肠癌-FDA批准Nivolumab用于某些转移性结肠直肠癌
相关推荐
厚朴方舟
厚朴方舟出国看病机构是中国企业初个拥有日本政府颁发的国际医疗从业资格证的公司,多年来整合了全球权威医疗资源,一直致力于打造“以患者为中心”的专业就医服务平台。公司在北京,上海,日本,美国均有分公司,为客户提供一站式海外就医服务。
咨询热线:400-086-8008
互联网药品信息服务资格证书编号:
(京)·非经营性·2015·0179
厚朴方舟健康管理(北京)有限公司 版权所有 www.hopenoah.com
京ICP备15061794号 京公网安备 11010502027115号