日本有哪些宫颈癌前沿治疗方法,如何治疗?
2017-07-19来源:厚朴方舟
宫颈癌的发病率和死亡率都位居全球十大癌症之列。中国宫颈癌的五年生存率为59.8%,而日本子宫癌(包括宫颈癌和子宫体癌)的五年生存率却高达86.3%。日本宫颈癌生存率如此之高,是有哪些前沿治疗方法呢?接下来厚朴方舟医学顾问就来为大家介绍一下日本是如何治疗宫颈癌的。

图源:日本妇产科学会
日本治疗宫颈癌的前沿方法
1. 宫颈锥形切除术
宫颈锥形切除术适用于严重的不典型增生(癌前病变)和IA1期宫颈癌。没有生育要求的患者,也可以进行全子宫切除术。
对于无法通过影像检查看到的早期宫颈癌,可以在显微镜下进行追星切除术,以便准确的判断癌症的扩散情况并选择合适的治疗方法。

图源:日本国立癌症研究中心
2. 根治性手术
IA2-IB2期宫颈癌通常需要进行根治性手术。IA2期宫颈癌可以进行半广泛性子宫切除术,也可进行广泛性切除术。广泛性切除术除子宫外,还将阴道的一部分、卵巢、子宫周围的组织和淋巴结进行大范围的摘除。
如果患者希望保留生育能力,则进行根治性宫颈切除术。该手术可通过仅广泛切除子宫颈及其周围组织,保留子宫体部分。
日本妇科肿瘤专家日本顺天堂大学附属浦安医院院长吉田幸洋教授曾为一名中国宫颈癌患者进行了根治性手术治疗。该患者已经年近七旬,在国内确诊为宫颈低分化鳞癌IIIB期。医生给出的治疗建议是:晚期宫颈癌,疑似盆腔淋巴结转移,如果手术的话要做盆腔廓清,术后同步放化疗。
盆腔廓清术除了广泛子宫切除外,还需要切除部分输尿管、部分膀胱和直肠,术后需要做膀胱造瘘和直肠造瘘,严重影响患者术后的生活质量。在赴日后,吉田幸洋教授根据检查结果判定宫颈癌分期为IB期,手术只需要切除子宫和淋巴结,无需造瘘。
相关案例:无需盆腔廓清更不用终身造瘘,七旬宫颈癌患者日本就医反转人生
3. 放疗
放疗可以用于局部进展期和晚期宫颈癌。放疗的副作用包括胃肠道疾病,腹泻,皮炎和肠梗阻。对于进行手术切除的患者,如果术后复发风险较高,通常也会使用放疗联合化疗进行术后辅助治疗。
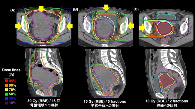
传统放射治疗在宫颈癌没有扩散到子宫外时联合化疗的效果比较显著,但是对于癌细胞扩散至普遍存在且形状不规则的巨大肿瘤时,其治疗的效果就很有限。而重离子治疗宫颈癌则具有良好效果,尤其是宫颈鳞状细胞癌,宫颈鳞状细胞癌重粒子放射治疗显示出良好的效果。根据日本QST医院的数据,对于大于6 cm 的宫颈鳞状上皮癌,重离子治疗的5年局部控制率为70%。

重离子放射治疗宫颈鳞状上皮癌的剂量分布图,图源:日本QST医院
QST医院日本国内仅有的一所研究放射线与人类健康的综合研究开发机构,现每年接受重离子治疗的患者约为800例,治疗总数近10000例,涉及到颅底肿瘤,头颈肿 瘤,肺癌,肝癌,直肠癌,前列腺癌,骨肉瘤等十余种病种。根据院方发布的数据显示,经过重离子治疗的患者5年生存率在80%以上,部分肿瘤高达97% 。作为世界权威的重离子治疗医院,QST医院运用先进医疗技术对恶性肿瘤的诊断及放射线治疗有着丰富的临床经验。
4. 化疗
化疗主要用于具有远处转移的晚期癌症或复发性癌症,通常会和放疗一起联合进行,治疗的目标是维持生活质量和延长生存期。用于宫颈癌的主要铂制剂有顺铂,卡铂和奈达铂。除铂制剂外的药物还包括紫杉醇,伊立替康和Nogitecan。当前,顺铂+紫杉醇或卡铂+紫杉醇经常被用作铂制剂结合其他化疗药物的多药标准治疗方法。
5. 靶向治疗
目前在日本用于宫颈癌的分子靶向药物主要为贝伐单抗,通常与化疗药物一起使用。靶向治疗主要的副作用包括伤口难以愈合,高血压,蛋白尿和出血等。
日本宫颈癌前沿治疗方法就介绍到这里。日本在治疗宫颈癌方面。尤其重离子治疗宫颈癌有着较显著的优势。厚朴方舟与日本多家权威癌症治疗医院有着长期深入的合作,致力于为国内患者提供专业安全的一站式出国看病服务。想要了解更多日本治疗宫颈癌方案、费用等详细信息,欢迎在线咨询医学顾问。
参考来源:
[1] https://www.iarc.fr/faq/latest-global-cancer-data-2020-qa/
[2] http://www.zengankyo.ncc.go.jp/etc/seizonritsu/seizonritsu2012.html#10
[3] https://ganjoho.jp/public/cancer/cervix_uteri/treatment.html
[4] http://www.jsog.or.jp/modules/diseases/index.php?content_id=10
[5] https://www.nhk.or.jp/kenko/atc_1246.html
[6] https://www.nirs.qst.go.jp/hospital/radiotherapy/explanation/doctor12.php
厚朴方舟2012年进入海外医疗领域,总部位于北京,建立了由全球权威医学专家组成的美日名医集团,初个拥有日本政府官方颁发的海外医疗资格的企业。如果您有海外就医的需要,请拨打免费热线400-086-8008进行咨询!
本文由厚朴方舟编译,版权归厚朴方舟所有,转载或引用本网版权所有之内容须注明"转自厚朴方舟官网(www.hopenoah.com)"字样,对不遵守本声明或其他违法、恶意使用本网内容者,本网保留追究其法律责任的权利。
上一篇:出国看病:日本治疗子宫癌的生存率,子宫癌各阶段如何治疗 下一篇:出国看病:日本宫颈癌治疗生存率及其预后
相关推荐
厚朴方舟
厚朴方舟出国看病机构是中国企业初个拥有日本政府颁发的国际医疗从业资格证的公司,多年来整合了全球权威医疗资源,一直致力于打造“以患者为中心”的专业就医服务平台。公司在北京,上海,日本,美国均有分公司,为客户提供一站式海外就医服务。
咨询热线:400-086-8008
互联网药品信息服务资格证书编号:
(京)·非经营性·2015·0179
厚朴方舟健康管理(北京)有限公司 版权所有 www.hopenoah.com
京ICP备15061794号 京公网安备 11010502027115号