骨肉瘤可以治好吗,骨肉瘤治疗方法介绍
2021-06-10来源:厚朴方舟
骨肉瘤可以治好吗?事实上骨肉瘤早期由于恶性程度小,尚未发生转移,治好的可能性很大。那么骨肉瘤治疗方法有哪些?骨肉瘤的治疗方法有很多,比如手术治疗、放射治疗和化学治疗,但是手术是治疗几乎所有骨肉瘤的重要部分,主要包括用于诊断癌症的活组织检查和切除肿瘤。

图源:wkhs
骨肉瘤能治疗好吗?
骨肉瘤是可以治疗好的。患者的预后情况和生活质量取决于很多因素,例如临床分期、肿瘤位置,所采取的治疗方法等因素。
美国国家癌症研究所的数据表明,骨肉瘤在不同阶段5年综合生存率大致为:局限性骨肉瘤5年综合生存率大致为77%;局部进展期骨肉瘤5年综合生存率大致为64%;远处转移骨肉瘤5年综合生存率大致为27%,所有阶段的骨肉瘤5年综合生存率大致为66.8%。
随着治疗手段的不断进步和医疗技术的发展,骨肉瘤患者的术后生存情况也有了极大改善,如下图所示从1975年到2013年患者的5年相对生存数据变化情况,因此,罹患骨肉瘤的患者也无需过于担忧,选择权威的医院及医生诊治,或许可以获得良好的预后。
![]()
图源:美国国家癌症研究所官网
骨肉瘤的主要治疗方法
一、手术治疗
骨肉瘤多发于四肢,手臂或腿部的肿瘤可以用以下两种方法治疗:
1.保肢手术——切除肿瘤和周围一些正常组织,但保留肢体基本完整
大多数胳膊或腿上有肿瘤的患者可以进行保肢手术,具体手术情况取决于肿瘤的位置、大小以及是否已经长成附近的结构等。患者在接受保肢手术后,平均需要一年的时间参加恢复训练以保证四肢的正常功能。
2. 截肢——切除肿瘤和手臂或腿的全部或部分。
对于一些患者来说,截肢可能是合理的选择。例如,在肿瘤很大或者肿瘤延伸到神经和/或血管的情况下,就无法保留四肢。在这种情况下,外科医生会根据MRI扫描结果和病理组织学检查结果来决定需要切除范围。截肢手术后,重建手术可以帮助一些失去肢体的病人尽可能地恢复功能,提高后续的生活质量。

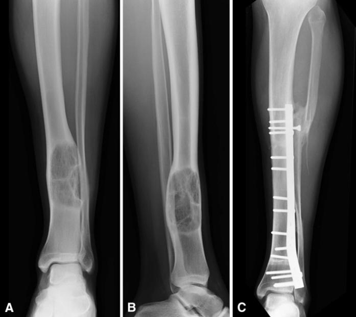
(A) AP和(B)侧位片显示 18 岁男性胫骨远端骨肉瘤的左侧胫骨和脚踝,除了截骨术和将腓骨转移到胫骨外,还接受了间隙切除和同种异体移植重建治疗。 增强同种异体移植物-宿主骨连接的愈合。(C)诊断和手术治疗35个月后,AP片显示同种异体骨完全愈合。图源:参考文献[3]
二、化学治疗
化疗是用药物治疗癌症。这种药物通常注入静脉,能够到达并摧毁全身的癌细胞。新辅助化疗是指在手术前接受大约10周的化疗,以缩小肿瘤,有助于手术的顺利进行。辅助化疗指手术后再次化疗,一般为期一年。
三、放射治疗
放射治疗方法使用高能射线或粒子来杀死癌细胞。骨肉瘤细胞不容易被放疗杀死,所以放疗在治疗这类癌症中一般起辅助作用,用于杀死术后剩余的癌细胞。不过,质子射线和重离子射线是放射治疗中的例外,它们对于骨肉瘤癌细胞的杀灭非常有效,对于无法手术的骨肉瘤患者而言,采用质子重离子治疗或许可以改善预后,提高生活质量。
约80%的骨肉瘤发生在四肢长骨,因此,手术治疗是治疗骨肉瘤的主要手段之一。但是,选择保肢手术还是截肢手术以及是否需要手术与放疗、化疗联合治疗要经过多种检查和权威专家的评估才能决定。厚朴方舟多年来与日本顺天堂大学附属医院、美国麻省总医院、筑波大学附属医院质子治疗中心等治疗骨肉瘤的权威医院保持着友好的合作关系,可以为骨肉瘤患者预约世界权威专家,提供世界先进的,如保肢手术、质子重离子治疗在内的骨肉瘤治疗方案。如果有需要,请联系厚朴方舟400-086-8008进行咨询!
参考文献:
[1]Mavrogenis AF, Abati CN, Romagnoli C, Ruggieri P. Similar survival but better function for patients after limb salvage versus amputation for distal tibia osteosarcoma. Clin Orthop Relat Res. 2012 Jun;470(6):1735-48. doi: 10.1007/s11999-011-2238-7. Epub 2012 Jan 24. PMID: 22270466; PMCID: PMC3348295.
[2]https://www.cancer.org/cancer/osteosarcoma/treating/surgery.html
[3] Mavrogenis AF, Abati CN, Romagnoli C, Ruggieri P. Similar survival but better function for patients after limb salvage versus amputation for distal tibia osteosarcoma. Clin Orthop Relat Res. 2012 Jun;470(6):1735-48. doi: 10.1007/s11999-011-2238-7. Epub 2012 Jan 24. PMID: 22270466; PMCID: PMC3348295.
厚朴方舟2012年进入海外医疗领域,总部位于北京,建立了由全球权威医学专家组成的美日名医集团,初个拥有日本政府官方颁发的海外医疗资格的企业。如果您有海外就医的需要,请拨打免费热线400-086-8008进行咨询!
本文由厚朴方舟编译,版权归厚朴方舟所有,转载或引用本网版权所有之内容须注明"转自厚朴方舟官网(www.hopenoah.com)"字样,对不遵守本声明或其他违法、恶意使用本网内容者,本网保留追究其法律责任的权利。
上一篇:骨肉瘤怎么分辨早晚期,判断骨肉瘤早晚期方法 下一篇:全国骨肉瘤医院排名-2020年国内骨肉瘤医院排名介绍
厚朴方舟
厚朴方舟出国看病机构是中国企业初个拥有日本政府颁发的国际医疗从业资格证的公司,多年来整合了全球权威医疗资源,一直致力于打造“以患者为中心”的专业就医服务平台。公司在北京,上海,日本,美国均有分公司,为客户提供一站式海外就医服务。
相关服务介绍

精密体检
日本医疗体检综合服务平台高性价比的专业体检套餐


远程会诊
足不出户与国际医学专家沟通新型用药方案和治疗方案


海外就医
专业的一站式海外就医服务国外专家预约、落地安排

咨询热线:400-086-8008
互联网药品信息服务资格证书编号:
(京)·非经营性·2015·0179
厚朴方舟健康管理(北京)有限公司 版权所有 www.hopenoah.com
京ICP备15061794号 京公网安备 11010502027115号