位置:首页 > 美国看病 > 美国医学前沿

病毒治疗方法治疗癌症!斩草又除根!

2018-11-21来源:厚朴方舟

   癌症之所以难治,是因为肿瘤组织建立起来的防御机制会抑制免疫系统的剿杀,帮助癌细胞转移,产生耐药性,让诸多治疗方法失效。即使大多数癌细胞被杀死,肿瘤微环境中的成纤维细胞也可以保护残留的癌细胞并帮助他们恢复和繁殖。让癌症总能够死灰复燃,继续猖獗。尽管科学家们不断研发出各种抗癌治疗方法,但癌细胞却总会魔高一丈。想要攻克癌症,谈何容易?
©getty 癌细胞的计算机图解,显示肿瘤血管的形成,为癌细胞提供氧和营养。
 
但这一次,科学家们研发了一种新的病毒治疗方法,对癌症发起了新一轮冲击!
  11月18日,美国癌症研究协会(AACR)旗下的权威癌症期刊《Cancer Research》在线发表的新研究引起广泛关注,由英国牛津大学领导的科研团队将一种溶瘤病毒改造成功,能击破保护癌细胞的护盾--靶向成纤维细胞,这也让我们看到了新型癌症治疗方法面世的希望。
   肿瘤相关成纤维细胞
   人类的肿瘤里,并不全都是癌细胞。如果细瞧的话,你还会发现不少成纤维细胞,以及免疫细胞。它们共同影响了肿瘤的微环境。不少研究癌症的科学家们相信,微环境是治疗癌症的关键。
   比如肿瘤的周边存在的“癌症相关的成纤维细胞”,它们能创造出一个免疫抑制性的肿瘤微环境,成为癌症的防御网。即使大部分癌细胞经过治疗被杀死,但仍然会有少数癌细胞在保护之下得以幸免,死灰复燃。因此想要清除癌症,除了杀死癌细胞之外,还必须完全攻破这层防护网。
 
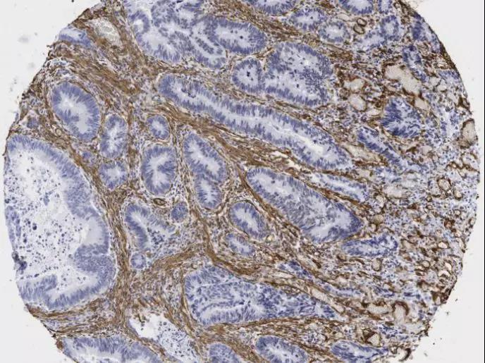
人结肠直肠腺癌,显示癌细胞(蓝色)周围的成纤维细胞(褐色),保护它们免受免疫系统的侵害。
 
但是,不只在肿瘤中,成纤维细胞也是体内的关键细胞类型之一,它可以建立结缔组织,如胶原蛋白,修复伤口和维持身体细胞外的环境。
   如果对他们的无针对性攻击可能会破坏我们自身正常的组织功能,造成严重的副作用,因此如何靶向癌症成纤维细胞是医学界迫切需要解决的问题。
  新一代病毒治疗方法--enadenotucirev横空出世
  科学家研究利用病毒对抗癌症的历史已有数十年,终于找到了一种方法。该研究使用了一种名为enadenotucirev的病毒,该病毒的开发仅针对实体瘤的癌细胞并对健康的细胞没有伤害。
  牛津大学的研究人员说,这是他们靠前次能够靶向成纤维细胞,这些细胞被“欺骗”到攻击肿瘤而不会在健康组织中引起毒性反应。这种双管齐下的攻击可以让医生直接靶向肿瘤并揭开癌细胞的伪装,这会使免疫系统“开始”识别并攻击致命的入侵者。
 
▲癌细胞(黑色)的周围有大量成纤维细胞(红色)。它们起到了保护作用
 
当然,这个研究的意义不仅仅是可以杀死成纤维细胞这么简单。之前,任何杀死成纤维细胞的治疗方法都可能杀死全身的成纤维细胞(例如骨髓和皮肤),从而引起严重的毒性反应。
   而这款经过改造的新型病毒,可以使被感染的癌细胞产生一种称为双特异性T细胞接头bispecific T-cell engager(之后简称BiTE)的蛋白质。这种蛋白质可以同时癌细胞和成纤维细胞结合,并且把与他们黏在一起,之后激活肿瘤内的免疫细胞去攻击成纤维细胞。
   简单来说,这种治疗方法的攻击分为了两步:
  Step1
  改造病毒,让受感染的癌细胞能表达这种BiTE接头,在溶瘤病毒的作用下,癌细胞(黑色)开始死亡(绿色荧光),而成纤维细胞(红色)暂时不受溶瘤病毒的直接影响。
 
 
    Step2
    在溶瘤病毒的作用下,许多癌细胞会被感染。而随着受感染癌细胞的裂解,它们体内的BiTE也会释放出来,让免疫T细胞靠近,并杀死肿瘤相关的成纤维细胞。
 
  ▲随着癌细胞开始裂解,BiTE会得到释放,让T细胞攻击成纤维细胞(红色),杀死后者(绿色荧光)
  换句话说,这种溶瘤病毒不但能杀死癌细胞,还能顺便破坏它们的保护伞,让残余癌细胞无所遁形,可谓是斩草又除根!
  更关键的是,这种方法一举突破了“毒副作用大”这一局限。科学家们成功地在志愿患者身上的新鲜癌症样本中测试了这种治疗方法的效果,同时还在健康的人类骨髓样本中进行了测试,发现它不会引起毒性反应或异常T细胞激活。研究人员表示,如果进一步的不受威胁试验成功,较早明年可以在人类中进行试验。
  MRC的分子和细胞医学负责人Nathan Richardson博士说:“免疫治疗方法方法正在成为治疗癌症的一种令人兴奋的新方法。这种创新的病毒传递系统针对癌症和周围的保护组织,可以改善患者的治效果果。癌症对目前的治疗有抵抗力。我们要确认对患者免疫系统的激活,不会带来意外的后果。
  英国癌症研究中心免疫治疗方法方法专家米歇尔·洛克利博士说:“利用人体自身免疫系统的力量来治疗癌症是一个不断发展的研究领域。这项研究在人类肿瘤样本中是令人鼓舞的,但可能很复杂 - 其中一项免疫治疗方法方法的大挑战是预测它们与患者免疫系统的合作程度,并了解副作用可能是什么。下一阶段将使用临床试验来测试这是否是一种不受威胁有效的治疗方法。
  正如专家们所言,这项研究目前还没有在人体中得到验证。但即便如此,积极的抗癌效果依旧给人们留下了的无限希望。随着科研技能的不断创新,溶瘤病毒能否继续为我们带来更多突破与惊喜,让我们拭目以待!

厚朴方舟2012年进入海外医疗领域,总部位于北京,建立了由全球权威医学专家组成的美日名医集团,初个拥有日本政府官方颁发的海外医疗资格的企业。如果您有海外就医的需要,请拨打免费热线400-086-8008进行咨询!

本文由厚朴方舟编译,版权归厚朴方舟所有,转载或引用本网版权所有之内容须注明"转自厚朴方舟官网(www.hopenoah.com)"字样,对不遵守本声明或其他违法、恶意使用本网内容者,本网保留追究其法律责任的权利。

上一篇:美国看病:发现促进肺癌生长新机制 下一篇:美国目前较常见的癌症治疗方法

厚朴

厚朴方舟出国看病机构是中国企业初个拥有日本政府颁发的国际医疗从业资格证的公司,多年来整合了全球权威医疗资源,一直致力于打造“以患者为中心”的专业就医服务平台。公司在北京,上海,日本,美国均有分公司,为客户提供一站式海外就医服务。

咨询热线:400-086-8008

互联网药品信息服务资格证书编号:
(京)·非经营性·2015·0179
厚朴方舟健康管理(北京)有限公司 版权所有 www.hopenoah.com
京ICP备15061794号 京公网安备 11010502027115号

首页 关于我们 在线咨询 在线留言 服务热线